감영성입자 프리온
프리온은 단백질성 감염성입자를 말합니다.프라이온은 단백질을 뜻하난 단어이며 이 프리온은 가설에 의하면 오늘날 현재까지 아직은 많이 알려진것이 없다고 합니다.

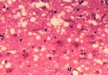
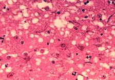
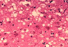
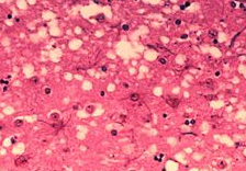
이 프리온은 현재 알려진바에 의하면 포유류에 몇 종의 질환을 일으키며 이 질환으로 가장 흔하게 알려진것이 광우병입니다. 이 광우병은 소해면상뇌증이라고 불리우며 이 질환은안타깝게도 사람에게도 발생하기도 합니다. 사람에게 발생할경우에 코로이츠펠트-야코프병이라고 불리웁니다. 혹은 씨제이디[CJD]라고 칭하기도 합니다.
-동물의 질환으로
1.타조 해면상뇌증
2.유제류 해면상뇌증
3.고양이 해면상뇌증
4.양이나 염소에서 발병하는 스크래피
5.흔히 광우병이라고 하는 소해면상뇌증
6.엘크나 사슴에서 발명하는 만성 소모성 질환
-사람의 질환
1.쿠루병
2.치명적 가족성 불면증
3.게르스만 슈트로이슬러 샤인커병
4.산발형,유전형,변형,의원성-코르이츠펠트-야보프병과 변형질환
프라이온은 바이러스와 매우 많이 흡사하지만 바이러스는 아닙니다.소독물질,열자외선,피에이치 변화등 외부환경에 대단한 강한 내성을 가지고있습니다. 그렇기 때문에 일반적인 미생물의 속하는 방법으로는 불활성화가 불가능하다고 알려져 있습니다. 또한 고압증기멸균기에서 열을 134도로 18분 이상을 가열을 하게된다면 성질이 변형 되기도 합니다.
유전적으로 정상적인프라이온 단백질을 만들어내는 유전자는 PRNP 유전자로 밝혀져 있으며 일부 프라이온 질환들은 유전이 되기도 합니다. 모든 사례들을 봤을때 PRNP 유전자의 변이가 나타나고 있습니다.




